2025年10月8日,在美国夏威夷举行的2025年国际帕金森和运动障碍协会年会(MDS)上,跃赛生物自主研发的全球首款中美双批自体细胞治疗产品UX-DA001以 “最新突破性研究”入选大会Oral Platform Presentations(口头报告),首度亮相国际舞台。
该项临床研究由上海交通大学医学院附属瑞金医院神经内科刘军教授担任主要研究者,周立彻医生代表研究团队在大会上进行专题报告,公布了首例帕金森病患者的6个月随访数据,获得与会专家高度关注。
作为帕金森病与运动障碍领域的全球顶级学术盛会,MDS年会每年汇聚数千名国际顶尖专家。此次中国团队在这一舞台上的精彩亮相,标志着我国在神经疾病细胞治疗领域的创新实力获得了国际学术界的认可。
汇报核心亮点
UX-DA001是跃赛生物凭借其自主研发的高通量干细胞分化谱系示踪、高效神经分化及iPSCs重编程三大技术平台精心打造而成 ,于2025年初正式启动I期临床试验。首例接受治疗的是一位中晚期帕金森病患者,术前每日服用四种抗帕金森病药,仍然存在明显症状波动,伴有睡眠障碍、自主神经功能障碍等非运动症状,生活质量受到严重影响。
治疗后6个月的数据显示,UX-DA001 展现出良好的安全性和显著的治疗效果:
· 患者整体耐受良好,无严重不良事件及与移植细胞相关的不良事件;
· 运动功能显著改善,MDS-UPDRS-III评分在“关期”改善21分,在“开期”改善9分,改善比例均超过45%;
· 每日“关”期时间平均减少3.6小时,无烦人异动症的开期时间增加3.3小时;
· 非运动症状缓解,NMSS量表及PDQ-39生活质量评分均呈现早期积极改善;
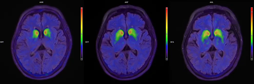
· 18F-FP-CIT PET影像学显示,双侧壳核移植区多巴胺转运体信号持续增强,为细胞存活和功能整合提供客观证据。

患者脑部术前、3个月、6个月的18F-FP-CIT PET图像
国际同行的积极反响与认可
该汇报引发了与会专家的热烈讨论。本次分会场主席在问答环节中特别问道:“与其他自体干细胞研究相比,你们研究的核心区别是什么?”瑞金医院研究团队代表周立彻医生回应,UX-DA001的核心优势在于其技术平台能够获得更高的细胞得率与纯度。这使得在达到同等疗效的前提下,所需注射的细胞总数更少,移植手术时间也相应缩短,从而提升了治疗过程的可靠性与安全性。会议期间,研究团队还接受了NeurologyLive等国际专业媒体的现场采访。
临床稳步推进,未来前景可期
目前,UX-DA001的I期临床试验正在有序推进。基于首例患者的积极结果,团队对项目的后续进展充满信心。
本次在MDS国际大会上的汇报,是跃赛生物研发历程中的重要里程碑,标志着公司自主创新能力已获得国际同行的高度关注。团队将继续秉持严谨求实、透明的科研态度,稳步推进临床研究,致力于将这一突破性疗法早日推向临床应用。
此次在国际顶尖学术舞台的亮相,是跃赛生物与优秀的临床合作伙伴通力合作的结果。不仅证明了跃赛生物对于细胞药物的自主研发能力,也展现了刘军主任带领的瑞金医院临床团队的综合实力。相信随着临床研究持续推进与数据的不断积累,跃赛生物将为全球帕金森病的治疗格局注入新的力量。
【关于国际帕金森与运动障碍大会 (MDS)】
国际帕金森与运动障碍学会(International Parkinson and Movement Disorder Society,MDS)是帕金森病与运动障碍领域全球公认最权威的专业组织,汇聚了该领域顶尖的临床医生、科学家与医疗保健专业人士,长期致力于推动运动障碍疾病的科学研究、临床实践与专业教育。该学会由 Stanley Fahn 教授和 C. David Marsden 教授于1985年共同发起成立,并于2013年正式更名为国际帕金森和运动障碍学会,进一步明确了帕金森病在其研究和临床使命中的核心地位.
【关于DA001】
UX-DA001是一种人中脑多巴胺能神经前体细胞,由跃赛生物凭借其自主研发的三大技术平台精心打造:高通量干细胞分化谱系示踪平台、高效神经分化技术平台以及 iPSCs 重编程技术平台。借助这些先进技术,该药物能够分化出具备高纯度、高稳定性以及高效能的人中脑多巴胺能神经前体细胞,有望切实修复患者受损的神经组织,恢复脑内多巴胺水平。
【关于跃赛生物】
上海跃赛生物科技有限公司成立于2021年,专注帕金森病、癫痫等神经系统疾病细胞治疗药物研发,拥有4000㎡研发中心与GMP厂房,获评全国颠覆性技术创新大赛优秀奖、上海市专精特新企业、浦东新区“明珠杯”创业大赛一等奖等荣誉,2024年度浦东新区创新创业奖。
2024年12月,上海跃赛生物科技有限公司自主研发的 UX-DA001成功获得中美两国国家药监局的临床试验默示许可,成为中国首个、全球第二款获批进入临床阶段的 iPSC 来源自体帕金森病治疗药物。